All of the smiles shown on this page are the work of our highly skilled team.
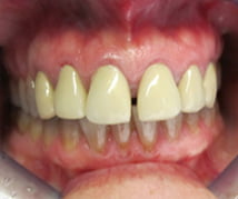
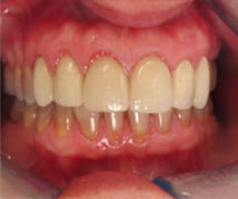
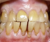
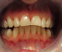
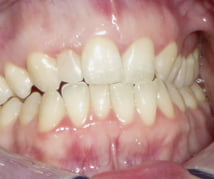
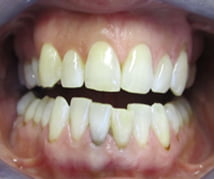
This lady was unhappy with her worn and discoloured front teeth. With direct bonding and new all-ceramic crowns, her smile was transformed!

Before

After
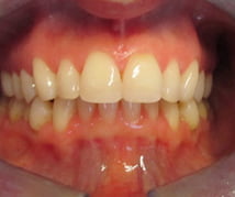
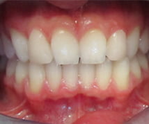
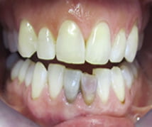
This patient was unhappy with her discoloured front tooth and the unaesthetic bonded repairs to her teeth. We undertook internal whitening and provided cosmetic bonding to get a great result with which she was delighted.

Before

After
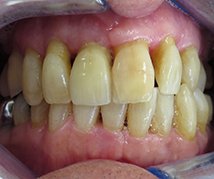
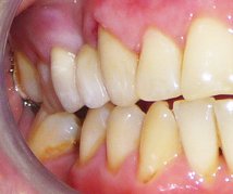
This patient had lost his upper right central incisor and premolar due to historic gum problems. Although a challenging case requiring bone grafting, we achieved a very natural result with dental implants. The patient was delighted.

Before Treatment, Central Incisor Missing

Before Treatment with Lips Retracted

Implant in Optimal Position

Bone Graft Placed

Implant Restored with Natural Looking Crown

After Treatment,
a Great Result
Modern all-ceramic crowns replacing unnatural looking old fashioned crowns with dark metal margins visible.

Before

After
Patient unhappy with unnatural looking crown, New all ceramic crown looks much more natural.

Before

After
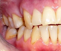
This was a difficult case of severe tooth wear. This was first stabilised and then following a course of whitening the teeth restored with cosmetic bonding. The young lady was delighted with her new smile.

Before

After
This was a young man just about to head off to University but was worried about the gaps in his smile caused by his peg shaped lateral incisors.
We had only a limited amount of time before he went off to University but with a course of whitening and direct bonding gave him a smile he was delighted with.

Before

After
This gentleman was delighted to be able to eat and smile again after his teeth were reconstructed with ceramic restorations and direct bonding.

Before

After
This patient was unhappy with her discoloured front tooth and the unaesthetic bonded repairs to her teeth. We undertook internal whitening and provided cosmetic bonding to get a great result with which she was delighted.

Before

After
This lady was unhappy which her peg shaped tooth. Direct bonding was used to give the tooth a more natural shape.

Before

After
Lady in mid 60’s

Before

After

Before

After
This gentleman was delighted with his ceramic bridge which filled the gap in his smile but also vastly improved the cosmetic appearance of his front teeth.

Before

After
Large bonded tooth coloured filling used to restore the function and appearance of a broken tooth that would have otherwise needed an expensive crown.

Before

After
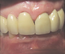
This lady was unhappy with the gap on her top right. An all ceramic bridge filled the space very naturally and she was delighted.

Before

After
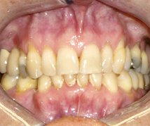
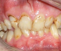
Male patient very unhappy with crooked discoloured teeth. Patient delighted with improved smile using five all ceramic crowns.

Before

After
Large silver filling in premolar tooth. Silver filling replaced with a bonded tooth coloured filling.

Before

After
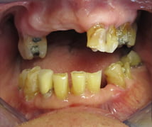
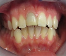
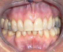
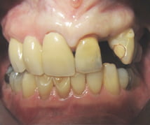
New crowns, new white fillings and a new partial denture. A great result and very happy patient!

Before

Before

After
The Gardens Dental Practice |
find our dentists on DentistFinder | complaints procedure | privacy policy | Sitemap | websites designed for dentists